SwiftMR® AI-Powered MRI

Introducing SwiftMR® – advanced care for all patients with faster MR scans and superior image quality. With a single installation, radiology staff can reduce scan times by up to 50%*, improving patient care and satisfaction. SwiftMR™ enhances MR images for various body parts, boosting productivity without disruptions to existing workflows or the need for new MRI scanners. Experience the future of imaging technology with SwiftMR®.

Overview

Introducing SwiftMR® – advanced care for all patients with faster MR scans and superior image quality. With a single installation, radiology staff can reduce scan times by up to 50%*, improving patient care and satisfaction. SwiftMR™ enhances MR images for various body parts, boosting productivity without disruptions to existing workflows or the need for new MRI scanners. Experience the future of imaging technology with SwiftMR®.

Video

Playlist

4 Videos

Reliable image quality

SwiftMRTM offers outstanding image performance and confidence for diagnostic accuracy with its fine-tuned deep learning model.

Save your valuable time with swift imaging

SwiftMR® is designed to deliver advanced care to every patient, every time by supporting shorter MR scan times with consistent delivery of image quality. With just one simple installation, SwiftMRTM allows radiology staffs to reduce MR scan time up to 50%* and provide better patient care with higher satisfaction. SwiftMR® offers enhanced MR images in a wide range of body parts and increases productivity without requiring any changes in the conventional workflow nor any new MRI scanners.

Scan Time Efficiency

Brain MRA

3.0T
Siemens MAGNETOM Skyra

TR/TE: 21/3.4 ms Acquisition voxel size: 0.52×0.55×1.2 mm

Brain AX FLAIR

3.0T
Siemens MAGNETOM Skyra

TR/TE: 9000/102 ms Acquisition voxel size: 0.55×0.91×5.0 mm

Brain 3D T1WI AX Reformat

3.0T
Siemens MAGNETOM Skyra

TR/TE: 2100/2.8 ms Acquisition voxel size: 1mm isotropic Reformat thickness: 1mm

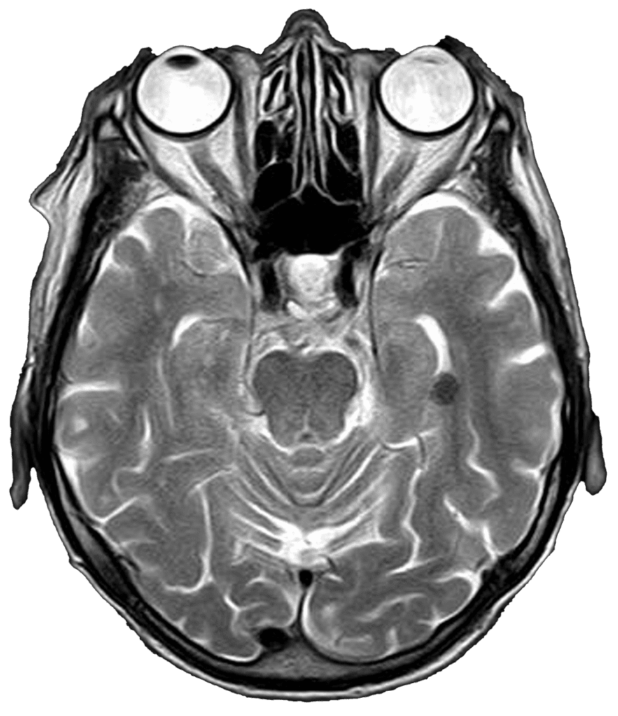
Brain AX T2*WI

1.5T
GE
Signa HDxt

TR/TE: 517/12 ms Acquisition voxel size: 0.88×1.05×5.0 mm

L-Spine SAG T2WI

1.5T
Siemens MAGNETOM Essenza

TR/TE: 3200/100 ms Acquisition voxel size: 0.71×1.19×4.0 mm

L-Spine AX T2WI

1.5T
Siemens MAGNETOM Essenza

TR/TE: 3540/98 ms Acquisition voxel size: 0.56×0.75×4.0 mm

Shoulder AX PDWI FS

1.5T
Siemens MAGNETOM Essenza

TR/TE: 3000/23 ms Acquisition voxel size: 0.63×0.78×3.0 mm

Shoulder COR PDWI FS

3.0T Philips Ingenia CX

TR/TE: 2400/30 ms Acquisition voxel size: 0.50×0.68×3.0 mm

Knee SAG T2WI

1.5T
Siemens MAGNETOM Essenza

TR/TE: 4450/105 ms Acquisition voxel size: 0.50×0.56×3.0 mm

Knee COR PDWI FS

3.0T Philips Ingenia CX

TR/TE: 3000/30 ms Acquisition voxel size: 0.40×0.51×3.0 mm

Ankle AX PDWI FS

1.5T
Siemens MAGNETOM Essenza

TR/TE: 3270/37 ms Acquisition voxel size: 0.53×0.66×3.0 mm

Request Quote

Product Search

Stay Informed

Sign up now
Get the latest imaging news, trends, and updates—right in your inbox.